Common Procedures
Regular Exams and Cleanings | Fluoride | Sealants | Extractions | Wisdom Teeth
| Digital X-Rays | Laser Dentistry
| Intraoral Camera | Fillings | Crowns | Bridges
Mouthguards | Veneers | Implant Restoration

Regular Exams and Cleanings
Regular exams are an important part of maintaining your oral health. During your regular exam, we will:
- Check for any problems that you may not see or feel
- Look for cavities or any other signs of tooth decay
- Inspect your teeth and gums for gingivitis and signs of periodontal disease
- Provide a thorough teeth cleaning
Your regular exam will take about 45 minutes. Each regular exam includes a detailed teeth cleaning, in which we will clean, polish, and rinse your teeth to remove any tartar and plaque that has built up on the tooth's surface.
Visiting our office every six months gives you the chance to talk to the doctor about any questions you may have about your oral health. Regular exams are offered by appointment only, so please contact our practice today to schedule your next dental exam and teeth cleaning.
Fluoride
Fluoride is effective in preventing cavities and tooth decay and in preventing plaque from building up and hardening on the tooth’s surface. A fluoride treatment in your dentist’s office takes just a few minutes. After the treatment, patients may be asked not to rinse, eat, or drink for at least 30 minutes in order to allow the teeth to absorb the fluoride. Depending on your oral health or your doctor’s recommendation, you may be required to have a fluoride treatment every three, six, or 12 months.
Sealants
Sometimes brushing is not enough,
especially when it comes to those hard-to-reach spots in your mouth. It is
difficult for your toothbrush to get in-between the small cracks and grooves on
your teeth. If left alone, those tiny areas can develop tooth decay. Sealants
give your teeth extra protection against decay and help prevent cavities.
Dental sealants are a plastic resin that bonds and hardens in the deep grooves on your tooth’s surface. When a tooth is sealed, the tiny grooves become smooth, and are less likely to harbor plaque. With sealants, brushing your teeth becomes easier and more effective against tooth decay.
Sealants are typically applied to children’s teeth as a preventive measure after the permanent teeth have erupted as a way to prevent tooth decay. However, adults also can receive sealants on healthy teeth. It is more common to seal "permanent" teeth rather than "baby" teeth, but every patient has unique needs, and your dentist will recommend sealants on a case-by-case basis.
Sealants last from three to five years, although it is fairly common to see adults with sealants still intact from their childhood. A dental sealant only provides protection when it is fully intact, so if your sealants come off, let your dentist know, and schedule an appointment for your teeth to be re-sealed.
Extractions
There are times when it is
necessary to remove a tooth. Sometimes a baby tooth has misshapen or long roots
that prevent it from falling out as it should, and the tooth must be removed to
make way for the permanent tooth to erupt. At other times, a tooth may have so
much decay that it puts the surrounding teeth and jaw at risk of decay, so your
doctor may recommend removal and replacement with a bridge or implant.
Infection, orthodontic correction, or problems with a wisdom tooth can also
require removal of a tooth.
When it is determined that a tooth needs to be removed, your dentist may extract the tooth during a regular checkup or may request another visit for this procedure. The root of each tooth is encased within your jawbone in a "tooth socket," and your tooth is held in that socket by a ligament. In order to extract a tooth, your dentist must expand the socket and separate the tooth from the ligament holding it in place. While this procedure is typically very quick, it is important to share with your doctor any concerns or preferences for sedation.
Once a tooth has been removed, neighboring teeth may shift, causing problems with chewing or with your jaw joint function. To avoid these complications, your dentist may recommend that you replace the extracted tooth.
Wisdom Teeth
Wisdom teeth are types of
molars found in the very back of your mouth. These teeth usually appear in late
teens or early twenties but may become impacted (fail to erupt) due to lack of
room in the jaw or angle of entry. When a wisdom tooth is impacted, it may need
to be removed. If it is not removed, you may develop gum tenderness, swelling,
or even severe pain. Impacted wisdom teeth that are partially or fully erupted
tend to be quite difficult to clean and are susceptible to tooth decay,
recurring infections, and even gum disease.
Wisdom teeth are typically removed in the late teens or early twenties because there is a greater chance that the teeth's roots have not fully formed and the bone surrounding the teeth is less dense. These two factors can make extraction easier, as well as making the recovery time much shorter.
In order to remove a wisdom tooth, your dentist first needs to numb the area around the tooth with a local anesthetic. Since the impacted tooth may still be under the gums and imbedded in your jaw bone, your dentist will need to remove a portion of the covering bone to extract the tooth. In order to minimize the amount of bone that is removed with the tooth, your dentist will often "section" your wisdom tooth so that each piece can be removed through a small opening in the bone. Once your wisdom teeth have been extracted, the healing process begins. Healing time varies depending on the degree of difficulty related to the extraction. Your dentist will share with you what to expect and provide instructions for a comfortable, efficient healing process.
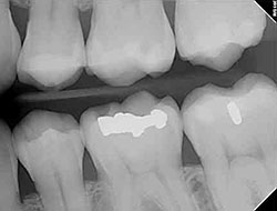
Digital X-Rays
Using the most advanced dental
technology possible is just as important as staying up-to-date on the latest
treatment techniques. Because our practice is dedicated to providing you with
the safest and most convenient treatment options available, we utilize advanced
digital X-ray technology in our office.
Digital X-rays provide several advanced imaging options that are designed to save time, provide clearer dental photos, and expose patients to less radiation than with traditional X-ray technology.
Our practice is focused on making your dental experience as comfortable as possible. At your next appointment, we’ll be happy to answer any questions you may have.
Laser Dentistry
Laser therapy in dentistry provides patients with a more comfortable dental treatment experience. Using laser dentistry, your dentist is able to deliver a precise treatment that is more comfortable, quicker, and provides more stunning results. There are two different types of laser dentistry: hard tissue and soft tissue. Hard tissue includes treatments such as cavity detection, dental fillings, and improving tooth sensitivity. Soft tissue treatments include gum reshaping, gum surgery, and improving muscle attachment.
There are several benefits to receiving a laser therapy dental treatment.
- Many laser treatments do not require anesthesia, and the recovery time is much quicker than with traditional treatment methods.
- Treatments are more comfortable.
- There is potentially less of a chance of bacterial infection because laser treatments are so precise.
Intraoral Camera
You know the importance of
prevention when it comes to your dental health, and we’re always looking for
new, improved ways to help you achieve a healthy smile for life. While X-rays
provide valuable information, they don’t give a complete view of everything
that is going on inside your mouth. With the use of an intraoral camera, we can
see every aspect of your teeth and mouth with incredible detail, uncovering
cracked teeth, plaque deposits, cavities next to fillings, and excessive wear.
When we can discover oral problems early on, your treatment is much less
invasive and much more cost effective.
Our intraoral camera is small – about the size of the mirror we use during your regular hygiene appointments. You probably wouldn’t even notice we’re using it, except that with the intraoral camera, you have the opportunity to see everything we see on a monitor. This is a great tool to help you become more informed about your dental health, as it gives you a clear understanding of your teeth’s condition, and it allows you to make a more informed decision regarding your treatment options.
White / Tooth-colored Fillings
Traditional dental restoratives, or
fillings, may include gold, porcelain, and composite. Newer dental fillings
include ceramic and plastic compounds that mimic the appearance of natural
teeth. These compounds, often called composite resins, are typically used on
the front teeth where a natural appearance is important. There are two
different kinds of fillings: direct and indirect. Direct fillings are fillings
placed directly into a prepared cavity in a single visit. Indirect fillings
generally require two or more visits. These fillings include inlays, and
veneers fabricated with ceramics or composites.
Crowns
Crowns are a cosmetic restoration
used to improve your tooth’s shape or to strengthen a tooth. Crowns are most
often used for teeth that are broken, worn, or have portions destroyed by tooth
decay.
A crown is a "cap" cemented onto an existing tooth that usually covers the portion of your tooth above the gum line. In effect, the crown becomes your tooth’s new outer surface. Crowns can be made of porcelain, metal, or both. Porcelain crowns are most often preferred because they mimic the translucency of natural teeth and are very strong.
Crowns or onlays (partial crowns) are needed when there is insufficient tooth strength remaining to hold a filling. Unlike fillings, which apply the restorative material directly into your mouth, a crown is fabricated away from your mouth. Your crown is created in a lab from your unique tooth impression, which allows a dental laboratory technician to examine all aspects of your bite and jaw movements. Your crown is then sculpted just for you so that your bite and jaw movements function normally once the crown is placed.
Bridges
A bridge may be used to replace
missing teeth, help maintain the shape of your face, and alleviate stress on
your bite.
A bridge replaces missing teeth with artificial teeth, looks great, and literally bridges the gap where one or more teeth may have been. Your bridge can be made from gold, alloys, porcelain, or a combination of these materials and is bonded onto surrounding teeth for support.
The success of any bridge depends on its foundation — the other teeth, gums, or bone to which it is attached. Therefore, it’s very important to keep your existing teeth, gums, and jaw healthy and strong.
Mouthguards
Whether you wear braces or not,
protecting your smile while playing sports is essential. Mouthguards help
protect your teeth and gums from injury. If you participate in any kind of
full-contact sport, the American Dental Association recommends that you wear a
mouthguard. Choosing the right mouthguard is essential. There are three basic
types of mouthguards: the pre-made mouthguard, the "boil-and-bite" fitted
mouthguard, and a custom-made mouthguard from your dentist. When you chose a
mouthguard, be sure to pick one that is tear-resistant, comfortable and well
fitted for your mouth, easy to keep clean, and does not prevent you from
breathing properly. Your dentist can show you how to wear a mouthguard properly
and how to choose the right mouthguard to protect your smile.
Veneers
You no longer need to hide your smile
because of gaps, chips, stains, or misshapen teeth. With veneers, you can
easily correct your teeth’s imperfections to help you have a more confident,
beautiful smile. Veneers are natural in appearance, and they are a perfect
alternative for patients wanting to make minor adjustments to the look and feel
of their smile.
Veneers are thin, custom-made shells made from tooth-colored materials (such as porcelain) designed to cover the front side of your teeth. To prepare for veneers, your doctor will create a unique model of your teeth. This model is sent to the dental technician to create your veneers. Before placing your new veneer, your doctor may need to conservatively prepare your tooth to achieve the desired aesthetic result.
When placed, you’ll be pleased to see that veneers look like your natural teeth. While veneers are stain resistant, your doctor may recommend that you avoid coffee, tea, red wine, and tobacco to maintain the beauty of your new smile.
Implant Restoration
If you have missing teeth, it is
crucial to replace them. Without all your teeth, chewing and eating can
destabilize your bite and cause you discomfort. When teeth are missing, your
mouth can shift and even cause your face to look older. Implants are a great
way to replace your missing teeth, and if properly maintained, can last a
lifetime!
An implant is a new tooth made of metal and porcelain that looks just like your natural tooth. It’s composed of two main parts: One part is the titanium implant body that takes the place of the missing root, and the second part is the tooth-colored crown that is cemented on top of the implant. With implant treatment, you can smile confidently knowing no one will ever suspect you have a replacement tooth.
In addition to tooth replacement, implants may be used to anchor dentures, especially lower dentures that tend to shift when you talk or chew. For patients with removable partial dentures, implants can replace missing teeth so you have a more natural-looking smile.
Sedation Dentistry
/ Orthodontics
/ Common Procedures
/ Cosmetic Dentistry
/ FAQs
Gum Disease
/ Mouthguards
/ Oral Cancer Screening
/ Oral Surgery
/ Pediatric Dentistry
Preventive Care
/ Teeth Whitening
/ DIAGNOdent
/ Lumineers